Odontoheart

Invisalign®
(Ortodoncia Invisible)

Alinea tus dientes sin brackets y transforma tu sonrisa con una alternativa moderna, cómoda y prácticamente invisible.

Transforma tu sonrisa
con un tratamiento de
ortodoncia invisible

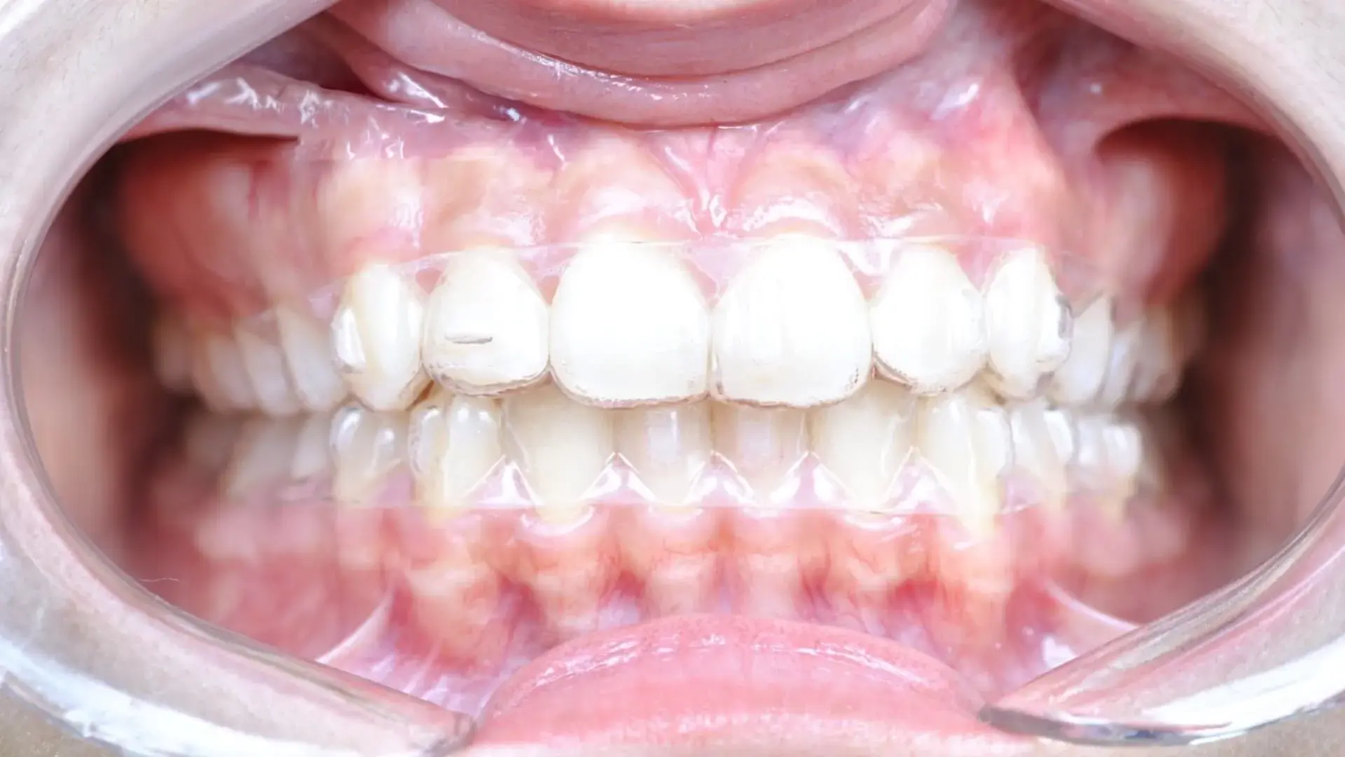
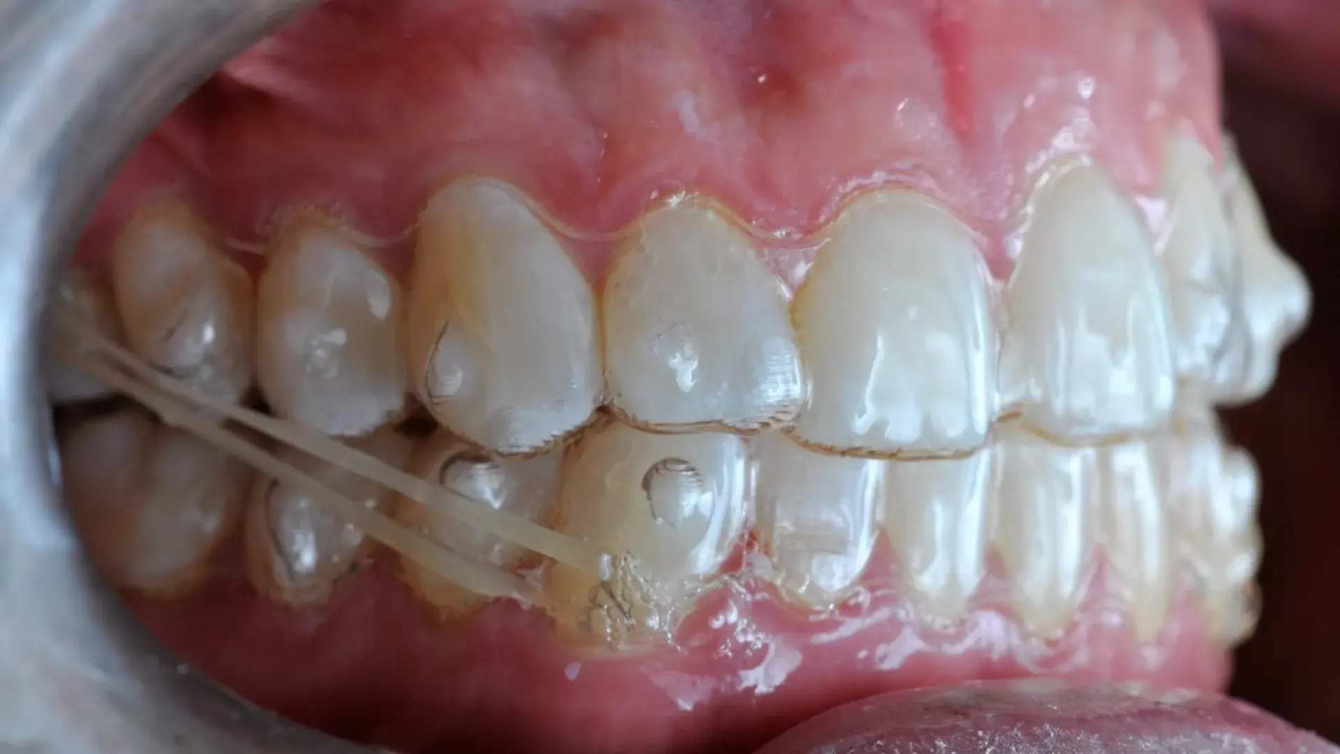
Invisalign® es un sistema que utiliza alineadores transparentes y removibles para corregir la posición de los dientes, mejorando la apariencia de la sonrisa de forma cómoda y discreta.

Beneficios

50% más rápido
Sin dolor
Sin restricción de alimentos
Invisible
Cómodo y discreto
Mayor higiene dental
Ortodoncia invisible

Fases del Tratamiento

1
Valoración
2
Diagnóstico
digital
3
Inicio de
tratamiento
4
Consultas de
seguimiento
5
Post-tratamiento

Descubre tu nueva
sonrisa en segundos

Escanea el QR o da clic y visualiza cómo podría verse tu sonrisa con Invisalign.
Sin brackets, sin complicaciones. Solo resultados.

Preguntas frecuentes

¿Qué es Invisalign y cómo funciona?

Invisalign es un sistema de ortodoncia que utiliza alineadores transparentes, removibles y personalizados para corregir la posición de los dientes de manera gradual, cómoda y discreta. Cada alineador se diseña a la medida de tu sonrisa tras una valoración especializada.

Invisalign es ideal para niños a partir de los 6 años, adolescentes y adultos que desean mejorar su sonrisa sin el uso de brackets tradicionales. Puede tratar problemas de crecimiento, apiñamientos leves hasta casos más complejos. Durante tu consulta de valoración en Odontoheart, evaluamos tu sonrisa, mordida y objetivos para confirmar si Invisalign es la mejor opción para ti.

Invisalign no es doloroso, sin embargo es normal sentir una ligera presión o molestia temporal durante los primeros días al cambiar de alineador, lo cual indica que los dientes se están moviendo correctamente.

La duración del tratamiento varía según cada caso, el tipo de corrección necesaria y el compromiso del paciente con el uso de los alineadores. Todo se define con precisión después de una valoración y planificación personalizada.

Galería

Alinea tu sonrisa con ortodoncia invisible 50% más rápido.

Sin dolor, cómodo y discreto

Más servicios

Que no te de
pena sonreír

Scroll al inicio